
| Предыдущая тема :: Следующая тема |
| Автор |
Сообщение |
margaritka
Профессор

На сайте с 07.04.05 Сообщения: 2247 В дневниках: 3849 Откуда: Академгородок
|
|
| ⮝ наверх ⮝ |
|
| |
margaritka
Профессор

На сайте с 07.04.05 Сообщения: 2247 В дневниках: 3849 Откуда: Академгородок
|
 Добавлено: Пт Янв 27, 2017 10:47 |
|
|
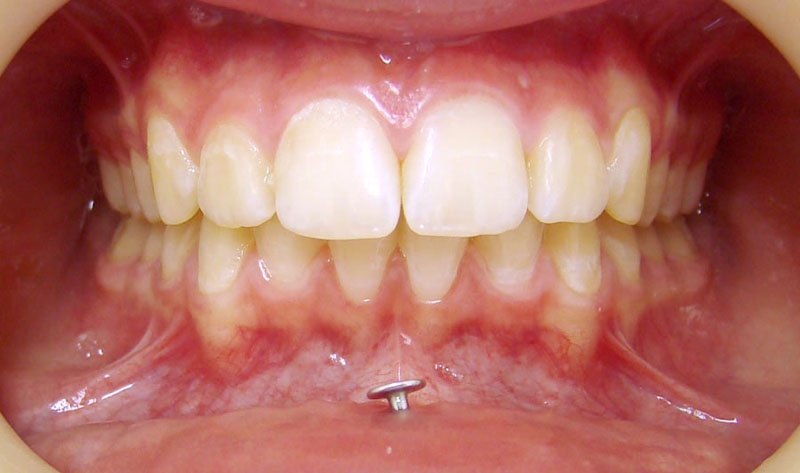
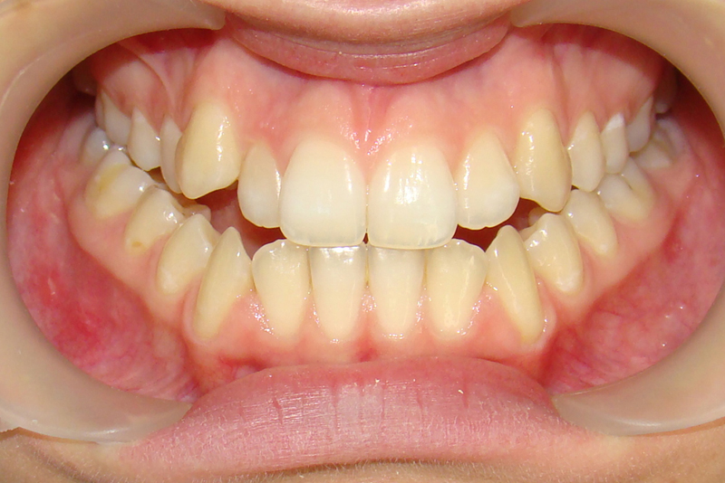
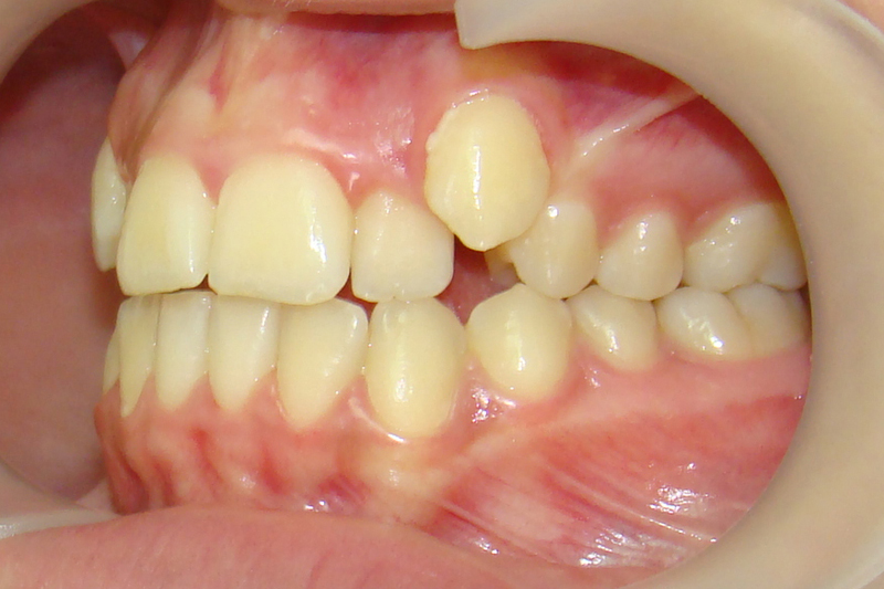
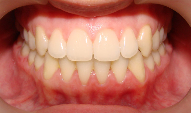
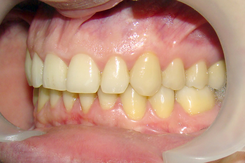
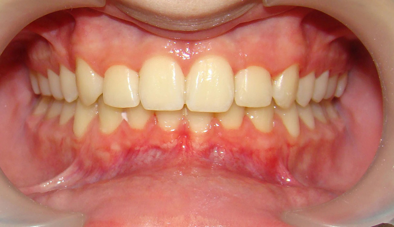
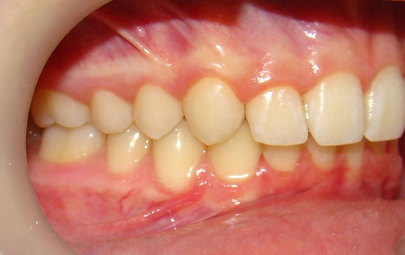
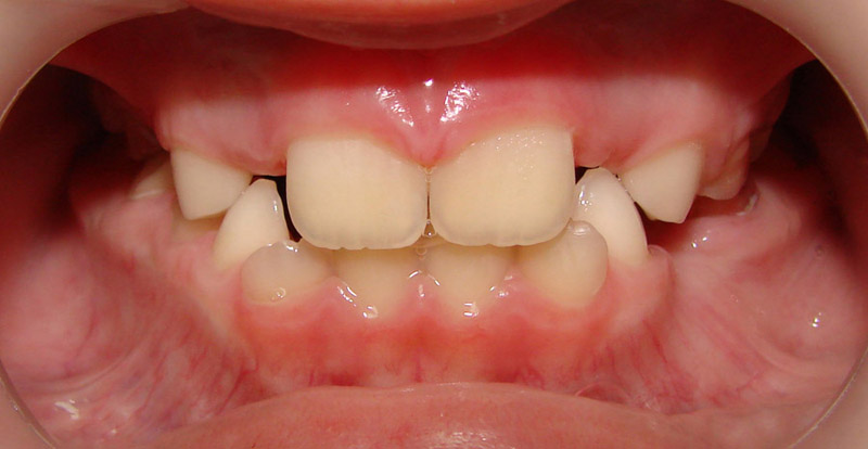
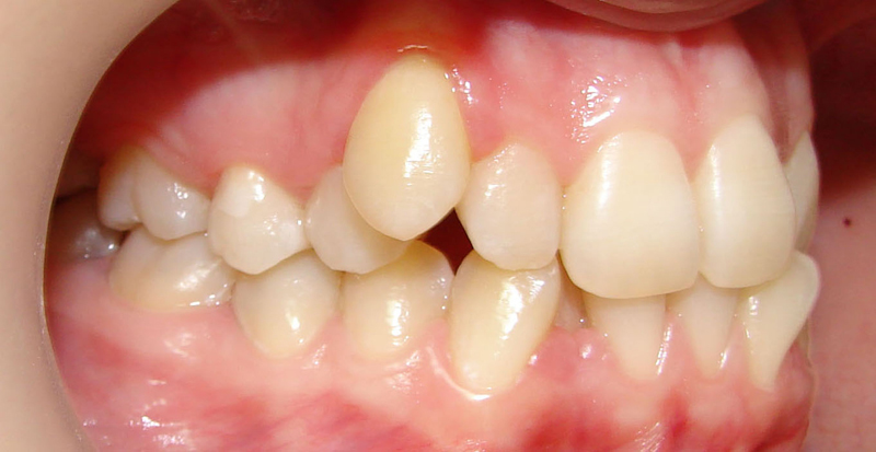
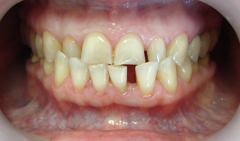
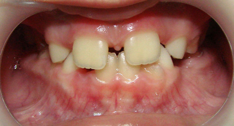
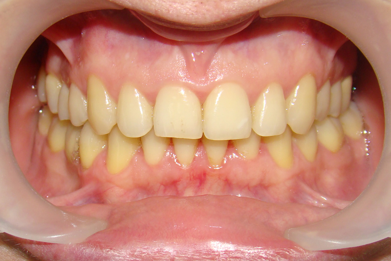
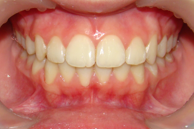
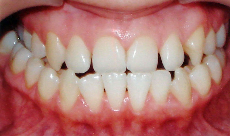
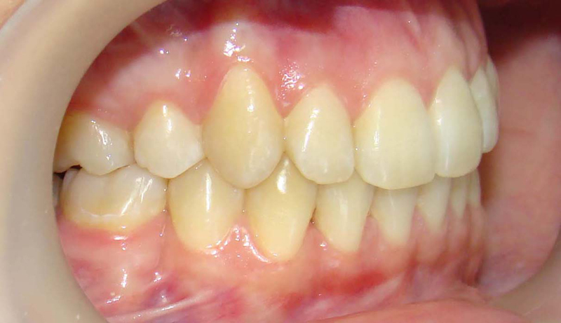
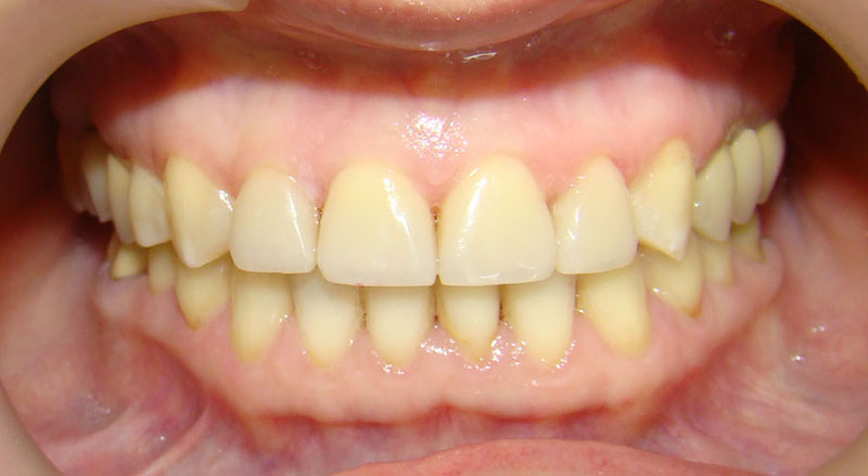
Покажу клинические случаи, чтобы было проще представить возможности ортодонтического лечения.
Это красиво!
Начну с самого простого. Мальчик, 6 лет. Носил съемную плстинку 4 мес. В таком возрасте брекеты еще, как правило, не используют.
А этой девушке было 16 лет, когда мама еле уговорила ее пойти к стоматологу. Проводили лечение с удалением зубов. Сейчас она такая красавица! Показала бы фото, но не могу
Этой девушке 15 лет. Тоже красотка! Очень сложное было лечение, с операцией на нижней челюсти. Иначе никак. Но она все выдержала!
Девушке 14 лет. Получилось все исправить без удаления зубов
А это уже молодой человек 10 лет. Тоже получилось справиться без удаления. Хоть оно и было показано. Но мальчик очень упорно носил специальные аппаратики и резиночки. Покажу со всех сторон. Этот случай победил в конкурсе на конференции
Молодая девушка и очень мне нравится результат!
А этой женщине было 54 года, когда мы начали лечение. Правда, одной ортодонтией не обошлось, еще сделали реставрацию. Если бы я могла показать фотографию лица, то вы увидели бы как она помолодела!
Девушке 11 лет. Я сильно настаивала на том, чтобы удалять зубы. Но решили попробовать без. Получилось
Теперь мужчина, лет 30ти. Очень интересный случай! Экспериментальный. Опробовали аппарат, который только появился. Для взрослого человека - это очень хороший результат. И что особенно радует - стабильный. Фотографии после лечения сделаны спустя два года.
И еще одна девушка, с очень глубоким прикусом "до" и пирсингом "после"
_________________ Ириша (24.11.04) Витюша (29.04.08)
Красивые улыбки - моя работа! |
|
| ⮝ наверх ⮝ |
|
| |
Neve
Аспирант Сибмамы

На сайте с 17.09.12 Сообщения: 3285 В дневниках: 9
|
 Добавлено: Пт Апр 12, 2024 9:58 |
|
|
margaritka
Здравствуйте!
Последние два случая, мужчина ок. 30лет и девушка с пирсингом. И женщина 54 года. Как лечили прикус?
Интересуюсь, т.к.:
Мне 45 лет, прикус чуть глубокий, сейчас нижняя челюсть как бы уходит назад. Возможно мне использовать трейнер, чтоб остановить уход назад? Посоветуйте производителя.
Сын, 15 лет, глубокий прикус, сейчас лечим пластинами. Смена зубов поздняя, последние зубы только начали расти. |
|
| ⮝ наверх ⮝ |
|
| |
margaritka
Профессор

На сайте с 07.04.05 Сообщения: 2247 В дневниках: 3849 Откуда: Академгородок
|
|
| ⮝ наверх ⮝ |
|
| |
лисанна
Студент

На сайте с 20.10.12 Сообщения: 1539 В дневниках: 5 Откуда: НОВОСИБИРСК Карта № 019483
|
 Добавлено: Вс Июн 09, 2024 0:23 |
|
|
|
Добрый день, Вы сейчас принимаете в Академгородке? |
|
| ⮝ наверх ⮝ |
|
| |
margaritka
Профессор

На сайте с 07.04.05 Сообщения: 2247 В дневниках: 3849 Откуда: Академгородок
|
|
| ⮝ наверх ⮝ |
|
| |
allennaa
Детский сад

На сайте с 16.02.13 Сообщения: 148 Откуда: Новосибирск
|
 Добавлено: Вт Июн 10, 2025 17:05 |
|
|
margaritka
Здравствуйте скажите пожалуйста если у ребёнка, 12 лет, двойка зашла за единицу , там вырос и прям наполовину спрятался за единицей, что ему делать? Челюсть расширять? Просто брекеты как то не хочется на все зубы, да я сейчас это конский ценник |
|
| ⮝ наверх ⮝ |
|
| |
margaritka
Профессор

На сайте с 07.04.05 Сообщения: 2247 В дневниках: 3849 Откуда: Академгородок
|
|
| ⮝ наверх ⮝ |
|
| |
Танкетка
Профессор

На сайте с 15.04.09 Сообщения: 5172 В дневниках: 479 Откуда: Академ, Щ
|
 Добавлено: Сб Авг 16, 2025 15:51 |
|
|
margaritka
Добрый день
Вам лс) |
|
| ⮝ наверх ⮝ |
|
| |
КареглаZка
Профессор

На сайте с 23.01.13 Сообщения: 4860 В дневниках: 4 Откуда: ОбьГэс Карта № 021821
|
 Добавлено: Ср Окт 29, 2025 17:23 |
|
|
Добрый день. Вам ЛС_________________
"Никогда не экономьте на том, что вы не сможете повторить". Тони Уиллер |
|
| ⮝ наверх ⮝ |
|
| |
|
|
Вы не можете начинать темы Вы не можете отвечать на сообщения Вы не можете редактировать свои сообщения Вы не можете удалять свои сообщения Вы не можете голосовать в опросах
|
|